DSCF1335.jpeg

Shots+Jots

tumblr_ngc5mpmKZ61s0l9spo1_1280.jpg
tumblr_ngc5mpmKZ61s0l9spo2_1280.jpg
tumblr_ngc5mpmKZ61s0l9spo3_1280.jpg
tumblr_ngc5mpmKZ61s0l9spo4_1280.jpg

12.2.2014
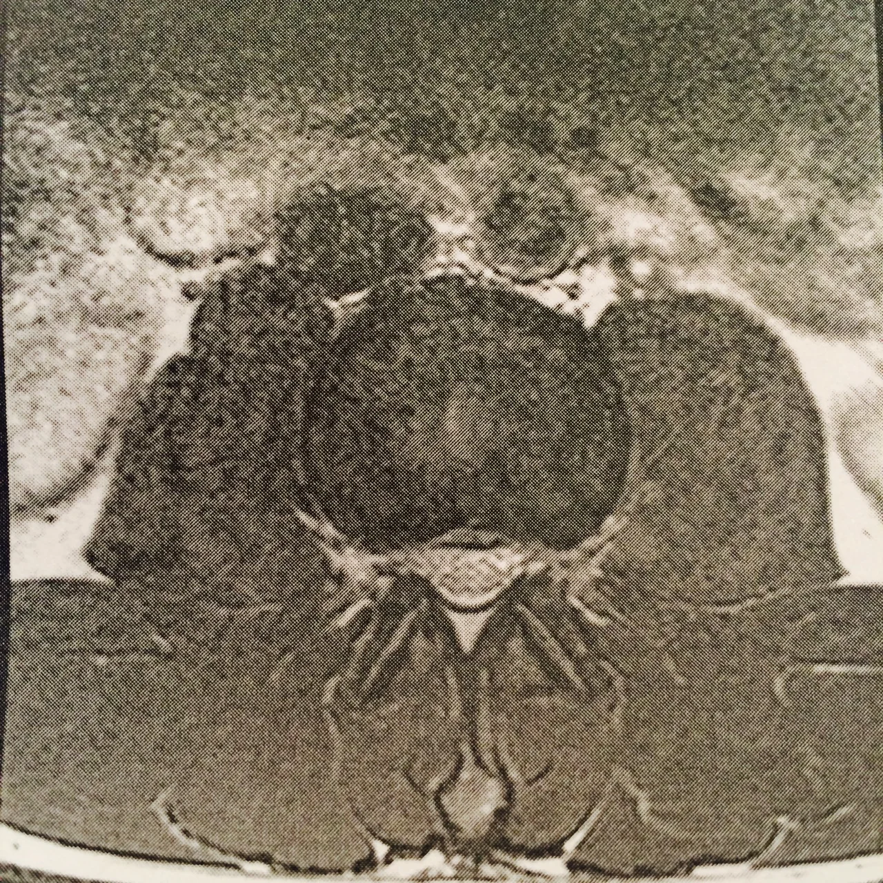
I’ve mentioned this, but back a month ago something went wrong that brought back my back pain. This time it hurt even more and down my back and my legs. Well, it took a month to find out what it probably is - above you can see the higher L2/L3 disc is herniated about 2mm, that’s old news from an accident when I was 21. But the lower herniation in L4/L5 is 3.5mm bulging into my spinal cord. It’s pushing on the nerves that send signals down my legs so that brings out some painful curious uncomfortableness. Like sometimes it feels as though a bear trap with teeth snapped on my leg, sometimes like my knee is being held to a fire, weird phantom pain like that.

Philip Skinnermri, herniation, spine